Before And After Photos

SMILE GALLERY - CHAMBERSBURG, PA

Before and After Gallery

- Connective Tissue Graft -

before gum graft
Before
After

Ā - Connective Tissue Graft -

Connective Tissue Graft
Before
Connective Tissue Graft
After

- Connective Tissue Graft -

before gums
Before
after gums
After

- Teeth Whitening -

before teeth Whitening
Before
before teeth Whitening
After

- Esthetic Crown Lengthening -

Esthetic Crown Lengthening
Before
after Esthetic Crown Lengthening
After

- Esthetic Crown Lengthening -

Esthetic Crown Lengthening
Before
Esthetic Crown Lengthening
After

- Teeth Xpress & Lip Flip -

Teeth Xpress & Lip Flip
Before
Teeth Xpress & Lip Flip
After

- Teeth Xpress & Lip Flip -

Teeth-Xpress-Lip-Flip
Before
After

- Dental Implants -

dental implant insert
Before
dental implant insert
After

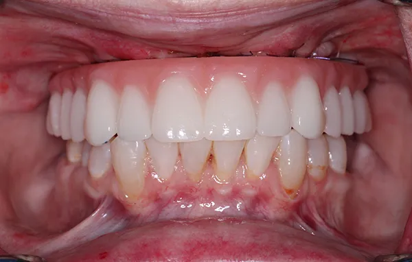
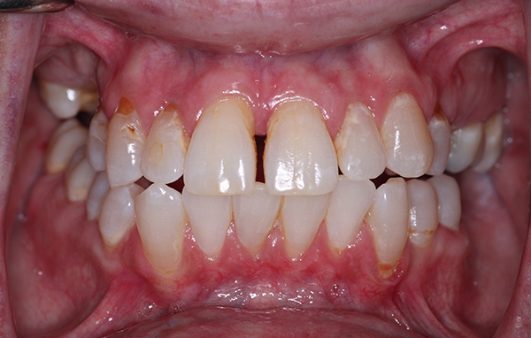
- Teeth Xpress -

teethxpress
Before
teethxpress
After

- Teeth Xpress -

Teeth Xpress before
Before
Teeth Xpress after
After

- Teeth Xpress -

Teeth Xpress before
Before
Teeth Xpress before
After

(717) 263-0606

Call Us Today!

129 Chambers Hill Dr

Chambersburg, PA 17201